Schulmedizinische Untersuchungsmethoden haben nun den Beleg dafür gebracht, was die Alternativ-Medizin schon seit Längerem formuliert: Verschiedene Wässer zeigen unterschiedliche Wirkungen. Quellwässer haben antioxidatives Potenzial und sie können sowohl Zellvitalität, Zellregeneration als auch Immunabwehr fördern.
Normalerweise untersucht Professor Peter C. Dartsch Produkte von Pharma- oder Kosmetikunternehmen. Nun hat er sich mit seinem Institut für zellbiologische Testsysteme einem Bereich angenommen, von dem die Schulmedizin landläufig keine Wirkungen erwartet: Mit Experten-Blick hat er sich verschiedener Wässer angenommen und war „erstaunt, welche Unterschiede sich dabei ergaben“. In einer Studie, die er kürzlich vorlegte, hatte er zwei Sorten Quellwässer – die St. Leonhardsquelle und die St. Georgsquelle – sowie handelsübliches stilles Supermarkt-Wasser aus Plastikflaschen mit zellbiologischen Methoden nach internationalem Standard untersucht. Die Studie wurde im Auftrag der St. Leonhards-Vertriebs GmbH & Co. KG vorgenommen. Dafür stellte das Unternehmen frisch abgefüllte Proben in Originalflaschen zur Verfügung, die bei Raumtemperatur lichtgeschützt gelagert wurden. Die Untersuchungen erstreckten sich über einen Zeitraum von etwa drei Monaten. Die St. Leonhardsquelle und die St. Georgsquelle sind an ihrem Ursprungsort frei zugänglich für die Verbraucher und sie können sich kostenlos daran bedienen.
Antioxidative Wirkung
In einem Testsystem ohne Zellen wurde von der Dartsch Scientific GmbH geprüft, ob die Wässer das Potenzial haben, einem oxidativen Stress durch reaktive Sauerstoffradikale aus der Umwelt oder der Überproduktion durch Medikamente oder Stress vorzubeugen. Dies geschah mit Hilfe von Kaliumsuperoxid, das im Test aggressive Superoxidanion-Radikale freisetzte. Durch einen speziellen Farbstoff ließ sich optisch sichtbar machen, inwieweit die Wässer antioxidativ wirken beziehungsweise wie viele freie Radikale sich nach wie vor im Testsystem befanden. Dabei zeigten beide Quellwässer eine dosisabhängig und „statistisch signifikante“ antioxidative Wirkung im Vergleich zum stillen Vergleichswasser aus dem Supermarkt, bei dem sich nicht nur keine antioxidative Wirkung nachweisen ließ, sondern sich im Gegenteil sogar ein geringer pro-oxidativer Effekt einstellte.
Zellvitalität
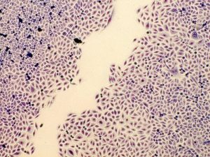
Zur Untersuchung der Zellvitalität verwendete das Institut Bindegewebszellen. Bei diesem Test wird die Zellaktivität über eine Farbreaktion getestet: Je höher die Zellvitalität, desto intensiver wird die Farbe der Reaktionslösung und diese Intensität lässt sich photometrisch bestimmen. Auch bei diesem Test zeigte sich, dass die beiden Quellwässer die Zellaktivität in „einer dosisabhängigen Weise statistisch signifikant stimulieren“. Das handelsübliche stille Wasser bewirkte hingegen eine „statistisch signifikante Reduktion der Zellvitalität“, abhängig von der Dosis. Eine Verbesserung der Zellvitalität ist in der Regel mit einer Förderung der Zellregeneration gekoppelt. Um dies zu testen, wurden Bindegewebszellen in strikt voneinander getrennten Bereichen aufgebracht, so dass definierte zellfreie Bereiche entstanden. In diese zellfreien Bereiche konnten die Zellen einwandern und dort durch verstärkte Zellteilung den zellfreien Bereich wieder schließen. Für jede Testkonzentration von Wasser nahm das Institut 18 Messungen in dreifachen unabhängigen Versuchsansätzen vor. Schnell zeigten sich „erhebliche Unterschiede“ zwischen den Wässern. Während es unter dem Einfluss der Quellwässer innerhalb von 24 Stunden zu einer mehr oder weniger vollständigen Neubesiedlung der zellfreien Zone kam, bewirkte das stille Testwasser nur eine unwesentliche Veränderung der Zellregeneration. Besonders die St. Georgsquelle war hier herausragend und zeigte schon bei einer Dosis von zehn Prozent des Wasservolumens „eine signifikante Stimulation im Vergleich zur Kontrolle“. Mit steigender Dosis zeigte aber auch die St. Leonhardsquelle eine vergleichbare Wirkeffizienz.

Mikrofoto vom Kontrollbild ohne Testwasser, die zellfreie Zone in der Mitte wird innerhalb von 24 Stunden nicht vollständig neu besiedelt
Unspezifische Abwehr
Außerhalb eines lebendigen Organismus lassen sich Fresszellen durch die Differenzierung von kultivierten Promelozyten erzeugen. Diese Zellen befinden sich auch im Blut und sind in der Lage, Fremdkeime – wie etwa Bakterien – zu erkennen, zu umschließen und durch die Bildung von Sauerstoffradikalen abzutöten. Danach werden diese abgetöteten Keime aufgefressen. Um die unspezifische Abwehr zu testen, wurden zu den Zellen ein farbsensibles Reaktionsgemisch sowie die verschiedenen Testkonzentrationen der Wässer zugegeben. Anschließend wurden die Veränderungen des Stoffwechsels dieser Zellen drei Stunden lang kontinuierlich aufgezeichnet und miteinander verglichen. Die Ergebnisse zeigten, dass die beiden untersuchten Quellwässer erneut eine ausgeprägte Stimulation des Stoffwechsels der Fresszellen bewirkten. Besonders die St. Georgsquelle zeigte hier schon bei niedrigen Konzentrationen eine überlegene Wirkung, die sich dann bei höheren Konzentrationen der St. Leonhardsquelle wieder anglich. Ohne eine erkennbare Wirkung landete das Vergleichswasser aus dem Supermarkt wiederum auf dem letzten Platz der Bewertung. Hier schließt sich der Kreis zu den alternativen Testverfahren anderer Wasser-Wissenschaftler, die sich in vielerlei Hinsicht mit den Ergebnissen des Instituts für zellbiologische Testsysteme decken.
Regelmäßig Quellwasser trinken
Bei den Tests zu den Wirkeffekten von Wasser wurden im Institut für biologische Testsysteme die untersuchten Wässer in verschiedenen Konzentrationen verwendet. Die getesteten Wässer wurden nicht pur verwendet, sondern mit Kulturmedium gemischt. Die maximale Konzentration der getesteten Wässer betrug bei den Versuchen 50 Volumenprozent. Übertragen auf den menschlichen Körper entspricht eine Trinkmenge von 1,5 Litern täglich nur etwa drei Prozent des Körperwassers. Doch geht Professor Dartsch davon aus, dass die tägliche und regelmäßige Aufnahme bestimmter Wässer einen stetig zunehmenden
Anteil am Körperwasser ergibt. Das rechtfertigt seiner Meinung nach die hohen Testkonzentrationen. Bei regelmäßigem Trinken der untersuchten Wässer lassen die Testergebnisse seiner Einschätzung nach Rückschlüsse auf den menschlichen Körper ziehen.
Vita: Prof. Dr. rer. nat. Peter C. Dartsch
Der Diplom-Biochemiker Prof. Dr. Peter C. Dartsch hat während seiner mehr als 25jährigen universitären Laufbahn im Testen von Zellen viel Erfahrung gesammelt – sowohl mit seiner Diplomarbeit, seiner Doktorarbeit und seiner Habilitation. Im Jahr 2002 gründete er die Firma Dartsch Scientific GmbH, die sich bis heute mit tierversuchsfreien zellbiologischen Testsystemen im Bereich der präklinischen Forschung und Entwicklung befasst. Zu den Kunden der Dartsch Scientific GmbH zählen die pharmazeutische, kosmetische, Nahrungs- und Nahrungsergänzungsmittelindustrie sowie Hersteller von Medizinprodukten.
Ein relativ neues Feld ist die wissenschaftliche Untersuchung geopathischer und elektromagnetischer Störfelder (durch beispielsweise Handy) und ihre Kompensation sowie Untersuchungen zu den Wirkeffekten von informiertem Wasser.
QC48W02
Bildnachweis: Dartsch-Scientific GmbH
Weitere Beiträge zum Thema Quellwässer:
Lebendiges Wasser Energiequell des Körpers









